0
ClodronateLiposomes.org

0
 

Results

Click an image to enlarge.

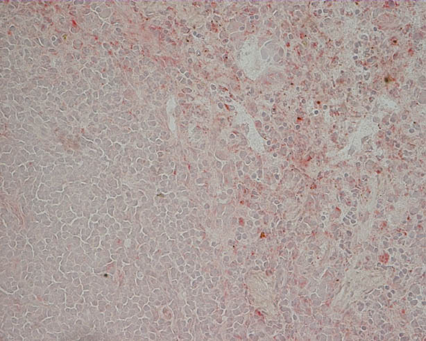
Sections of mouse liver, stained with monoclonal antibody F4/80

Click to enlarge

Top: Normal liver with positive Kupffer cells








Click to enlarge

Bottom: Liver of a mouse, 2 days after injection with clodronate-liposomes. Kupffer cells have been depleted








Sections of mouse spleen stained for acid phosphatase

Click to enlarge

Top: Normal spleen with positive splenic macrophages








Click to enlarge

Bottom: Spleen of a mouse 2 days after injection with clodronate liposomes. Only few macrophages are left.

 

 
Copyright (C) 2006 Dr. Nico van Rooijen - All rights reserved.